Signed in as:
filler@godaddy.com
A CME talk update - By Dr.Mythri Shankar At AIIMS
A localization Procedure done by Dr.Mythri Shankar for breast surgeons.

Principle. Low-dose x-ray of compressed breast (DM); DBT acquires multiple low-dose projections to reconstruct thin slices, reducing tissue overlap.
Indications.
Principle. Low-dose x-ray of compressed breast (DM); DBT acquires multiple low-dose projections to reconstruct thin slices, reducing tissue overlap.
Indications.
Advantages.
Limitations.
Performance.
Patient perspective.
Impact on management.

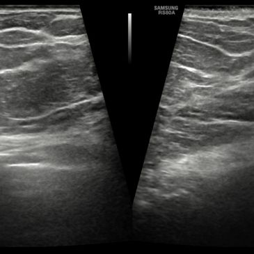
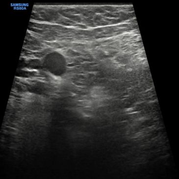
Principle: High-frequency B-mode imaging (7–15 MHz) with real-time assessment of lesion morphology, echotexture, margins, and vascularity.
Indications:
Principle: High-frequency B-mode imaging (7–15 MHz) with real-time assessment of lesion morphology, echotexture, margins, and vascularity.
Indications:
Advantages:
Limitations:
Diagnostic Performance:
Role in Management:

Purpose: Focused evaluation of a region of interest identified on mammography, MRI, or physical exam.
Advantages:
Limitations:
Use Cases:
Purpose: Focused evaluation of a region of interest identified on mammography, MRI, or physical exam.
Advantages:
Limitations:
Use Cases:

Principle: Functional imaging using Tc-99m sestamibi or similar radiopharmaceuticals; uptake reflects mitochondrial density and blood flow in tumor cells.
Indications:
Advantages:
Principle: Functional imaging using Tc-99m sestamibi or similar radiopharmaceuticals; uptake reflects mitochondrial density and blood flow in tumor cells.
Indications:
Advantages:
Limitations:
Performance:
Clinical Value:

Principle: Peritumoral or subareolar injection of Tc-99m sulfur/nanocolloid to map lymphatic drainage and locate the sentinel lymph node.
Indications:
Advantages:
Principle: Peritumoral or subareolar injection of Tc-99m sulfur/nanocolloid to map lymphatic drainage and locate the sentinel lymph node.
Indications:
Advantages:
Limitations:
Performance:
Clinical Impact:

Principle: ^18F-FDG accumulates in metabolically active tumor tissue; fused PET–CT provides metabolic and anatomical correlation.
Indications:
Advantages:
Principle: ^18F-FDG accumulates in metabolically active tumor tissue; fused PET–CT provides metabolic and anatomical correlation.
Indications:
Advantages:
Limitations:
Performance:
Clinical Value:

QT Imaging is an advanced breast imaging technology that uses Quantitative Transmission Ultrasound (QT) to create high-resolution, 3D images of breast tissue without radiation or compression. It is designed as a safer and more comfortable alternative to mammography while improving breast cancer detection, particularly in women with dense breast tissue.
🔹 True 3D Ultrasound Imaging
🔹 No Radiation, No Compression
🔹 Enhanced Detection for Dense Breasts
🔹 FDA Clearance
🔹 More Comfortable & Painless
🔹 Potential for Standalone Screening

Principle: Combines T1/T2-weighted sequences, DWI/ADC mapping, and dynamic contrast-enhanced imaging to evaluate vascularity and permeability (Ktrans).
Indications:
Principle: Combines T1/T2-weighted sequences, DWI/ADC mapping, and dynamic contrast-enhanced imaging to evaluate vascularity and permeability (Ktrans).
Indications:
Advantages:
Limitations:
Performance:
Clinical Role:

Principle: Combines metabolic information (PET) with superior soft-tissue contrast of MRI; simultaneous acquisition minimizes misregistration.
Advantages:
Principle: Combines metabolic information (PET) with superior soft-tissue contrast of MRI; simultaneous acquisition minimizes misregistration.
Advantages:
Limitations:
Performance:
Clinical Role:

Principle: Radiolabeled estradiol analog binds to estrogen receptors (ER), enabling in vivo mapping of ER expression.
Indications:
Advantages:
Principle: Radiolabeled estradiol analog binds to estrogen receptors (ER), enabling in vivo mapping of ER expression.
Indications:
Advantages:
Limitations:
Performance:
Clinical Impact:
Copyright © 2026 Dr.Mythri Shankar, M.D. - All Rights Reserved.